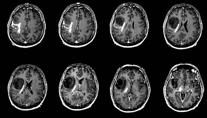
Beyin tümörleri hakkında merak ettikleriniz...
Optimum Sağlık - Op. Dr. Erdoğan AYAN (16.12.2016)Özel Optimed Hastanesi, Beyin, Omurilik ve Sinir Cerrahisi Uzmanı Op. Dr. Erdoğan AYAN, Rumeli Tv ek
İzleOptimum Sağlık - Op. Dr. Erdoğan AYAN (16.12.2016)Özel Optimed Hastanesi, Beyin, Omurilik ve Sinir Cerrahisi Uzmanı Op. Dr. Erdoğan AYAN, Rumeli Tv ek
İzle